亭湖区人民医院胸外科成功开展 多例单孔胸腔镜下肺大泡切除术


1.png

近日,我院胸外科程红春主任在麻醉科的积极配合下,又成功为一名气胸患者实施了单孔胸腔镜下肺大泡切除术。术后两天患者已顺利拔除胸腔引流管。这是我院胸外科今年自主开展的第10例单孔胸腔镜治疗肺部疾病手术。把原来三个孔的手术“浓缩”成一个小孔,创造微创手术的新奇迹。

2.png

患者详情

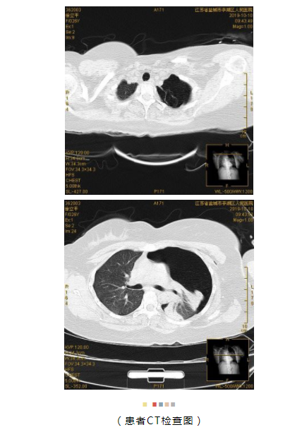
患者,女,26岁,身材中等,近日,突感胸闷、胸痛,在我院行胸部CT检查示:左侧气胸(左肺组织压缩约95%)。

3.png

患者症状

入院后即行左侧胸腔闭式引流等急诊治疗,症状缓解,后行胸部CT检查发现:左上肺多发肺大泡且有束带粘连。此次气胸发作考虑为肺大泡破裂所致且后续有粘连束带断裂导致胸腔出血可能,遂建议患者行手术治疗。

肺大泡切除术

传统肺大泡切除术是单侧胸腔一个约8-10cm的切口,撑开胸腔,找到肺大泡,行肺大泡切除,手术创伤大,出血多,术后恢复慢,疼痛剧烈。目前,这样的手术,即便最微创的做法也需要在身上打2个孔才能做到。因患者年轻女性,综合各方面因素,程主任在微创手术的基础上再“微创”,把原来的3个孔“浓缩”成一个孔。单孔胸腔镜微创肺大泡切除,不撑开胸腔,出血少,创伤小,是治疗该病的首选方法。经过积极术前准备及和患者家属沟通,入院第三天,胸外科和麻醉科共同协作,施行单孔胸腔镜下肺大泡切除术。术中所见验证了术前的判断,多发肺大泡且有束带粘连。

5.png

手术成功

手术仅在左侧胸壁上开了一个2cm的孔,在胸腔镜的引导下,将手术器械伸入胸腔内完成手术操作。术后2天拔除胸腔引流管,术后1周顺利出院。

7.png





程主任介绍,肺大泡多发生在瘦高体型、年龄20-30岁左右的男性患者。病因多是由于各种原因导致肺泡腔内压力增高,肺泡壁破裂、融合,在肺组织形成的含气囊腔。瘦高体型患者的肺尖部胸膜腔负压相对较大,长期下来肺组织弹力纤维发育不良,就易导致肺泡壁弹性减退,一旦遇到胸腔压力突然变化时,如咳嗽、搬重物、打喷嚏等,就可能发生肺大泡破裂形成气胸。也有不少患者发病无明显诱因,在安静睡觉或读书时就突然发生气胸。许多患者保守治疗后还会反复发作,甚至出现血气胸、张力性气胸等急症,危及生命。所以发现肺大泡需经外科手术治疗来达到治愈的目的。

采用单孔胸腔镜技术比之前的3孔技术更微创,对患者的损伤更小,患者的疼痛度降低,恢复起来更快,更加美观。仅仅用了二十分钟就顺利实施而该技术给患者带来诸多益处,为更多的患者带来福音。